    
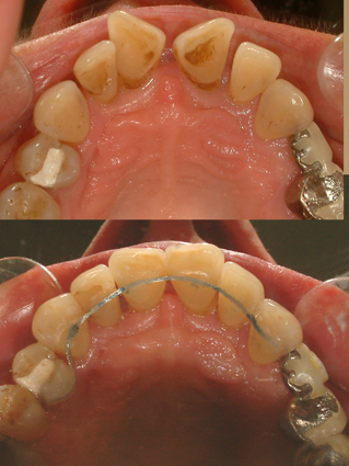
Απεικονίζονται οι διάφοροι κινητοί και ακίνητοι μηχανισμοί συγκράτησης του αποτελέσματος της ορθοδοντικής θεραπείας
Τι ποσοστά επιτυχίας έχει η ορθοδοντική θεραπεία; Ποιοι παράγοντες παίζουν ρόλο στην επιτυχία;
Κατά τον ορθοδοντικό σχεδιασμό δεν συνηθίζεται να υπολογίζονται ποσοστά επιτυχίας της προτεινόμενης θεραπείας. Με την ολοκληρωμένη διάγνωση των ορθοδοντικών προβλημάτων, η οποία πρέπει να τίθεται στον ασθενή πριν από την έναρξη της θεραπείας, αναγνωρίζονται και περιγράφονται με ακρίβεια τα παρατηρούμενα προβλήματα ενώ προσδιορίζεται με σαφή τρόπο το κατά πόσον, πότε και πως μπορούν να αντιμετωπισθούν με τον καλύτερο δυνατό τρόπο. Στα πλαίσια της διάγνωσης κυρίαρχο ρόλο παίζει η γνωριμία με τον ασθενή όπου προσδιορίζονται τα κίνητρα και οι προσδοκίες του από τη θεραπεία. Όταν αυτές δεν είναι ρεαλιστικές δεν μπορεί να καταστεί εφικτή η ικανοποίηση του ασθενούς από το αποτέλεσμα της θεραπείας. Για την επιτυχία της ορθοδοντικής θεραπείας εκτός από το σωστό σχεδιασμό της και την απόλυτα προγραμματισμένη εφαρμογή των διαδοχικών της σταδίων απαραίτητο στοιχείο είναι η καλή συνεργασία του ασθενούς και η συμμόρφωσή του στις οδηγίες που θα του δοθούν από τον θεράποντα ορθοδοντικό, η συνέπειά του στις προγραμματισμένες επισκέψεις και η αποφυγή συμπεριφορών που αφορούν κυρίως στη διατροφή και στην υγιεινή του στόματος που μπορούν να δημιουργήσουν έκτακτες καταστάσεις.
Όταν ολοκληρωθεί η ορθοδοντική θεραπεία, τι πρέπει να προσέχει κανείς;
Μετά από την ολοκλήρωση της ενεργού φάσης της ορθοδοντικής θεραπείας, πάντοτε διατηρείται κάποια (διαφορετική για κάθε περίπτωση) πιθανότητα για υποτροπή της θεραπευμένης ορθοδοντικής ανωμαλίας. Οι ιστοί του στόματος και ειδικότερα εκείνοι που εντοπίζονται γύρω από τα δόντια, σε γενικές γραμμές διαθέτουν ισχυρή μνήμη και μέσω αυτής, επιδιώκουν συνεχώς την επαναφορά των δοντιών στην αρχική τους θέση, ακόμη και μετά την ολοκλήρωση της ορθοδοντικής θεραπείας. Για το λόγο αυτό, η ορθοδοντική θεραπεία δεν πρέπει να θεωρείται ότι ολοκληρώθηκε μετά την αφαίρεση των ορθοδοντικών μηχανισμών. Ο ασθενής από την πλευρά του, πρέπει να κατανοήσει την ιδιαίτερη σημασία που έχει η φάση της συγκρατήσεως του θεραπευτικού αποτελέσματος, κατά την οποία πρέπει να ακολουθεί πιστά τις οδηγίες του ορθοδοντικού του, ώστε το αποτέλεσμα της θεραπείας να είναι σταθερό. Ως ένας αδρός κανόνας, ισχύει ότι, όσο μεγαλύτερη και βαρύτερη είναι η αρχική ορθοδοντική ανωμαλία, τόσο μεγαλύτερο διάστημα θα απαιτηθεί να διαρκέσει η συγκράτηση του θεραπευτικού αποτελέσματος. Με τα κατάλληλα κατά περίπτωση συγκρατητικά μέσα, τα δόντια διατηρούνται παθητικά στις νέες τους θέσεις, στις οποίες έχουν μετακινηθεί με την ορθοδοντική, για το απαραίτητο χρονικό διάστημα, ώστε να αποκτήσουν "νέα μνήμη" και να σταθεροποιηθούν στις θέσεις αυτές. Για τον ίδιο λόγο, μετά την ορθοδοντική θεραπεία, πρέπει πάντοτε να αξιολογείται η φάση διαπλάσεως και η διεύθυνση ανατολής (δηλαδή της εμφάνισής τους στο στόμα) των φρονιμιτών (ή σωφρονιστήρων). Αν και δεν έχει αποδειχθεί, εν τούτοις υποστηρίζεται από ορισμένους ερευνητές, ότι οι φρονιμίτες, προκειμένου να αποκτήσουν τον απαραίτητο χώρο στις οπίσθιες περιοχές του στόματος, μπορούν να ωθήσουν τα πρόσθια δόντια προς τα εμπρός, με την ενδογενή δύναμη που διαθέτουν και έτσι να προκαλέσουν εκ νέου συνωστισμό (δευτερογενώς) των προσθίων δοντιών. Έτσι, τις περισσότερες φορές όπου ο διαθέσιμος χώρος δεν κρίνεται αρκετός για την ανατολή των φρονιμιτών, τότε δίνεται από τον ορθοδοντικό, η εντολή για άμεση εξαγωγή τους ακόμα και σε πρώιμη φάση διάπλασής τους, και μάλιστα πριν εμφανισθούν στο στόμα.
|