 .jpg) .jpg) .jpg) .jpg) 
Ο κίνδυνος τραυματισμού των δοντιών και του προσώπου στα πλαίσια αθλητικών δραστηριοτήτων και αθλοπαιδιών είναι αυξημένος. Η χρήση ενός κατάλληλου ενδοστοματικού αθλητικού νάρθηκα με καλή εφαρμογή (κατασκευασμένου στο εργαστήριο μετά από λήψη αποτυπωμάτων στο οδοντιατρείο) μπορεί να προστατεύσει τα δόντια και τους ιστούς του προσώπου από τραύμα ιδιαίτερα σε ασθενείς με ακίνητους ορθοδοντικούς μηχανισμούς
Το παιδί που βάζει σιδεράκια, συνεχίζει κανονικά τις εξωσχολικές του δραστηριότητες (αθλητισμός, εκμάθηση μουσικού οργάνου);
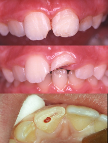
Όσον αφορά τις αθλητικές δραστηριότητες ο κίνδυνος τραύματος του προσώπου και των δοντιών είναι αυξημένος σε αθλητές με χαρακτηριστικά όπως ο προγναθισμός και η αυξημένη πρόταξη των δοντιών. Ιδιαίτερα σε αθλητές που φορούν σιδεράκια το ενδεχόμενο τραύμα των μαλακών ιστών μπορεί να είναι αρκετά εκτεταμένο και οδυνηρό ενώ τόσο τα δόντια όσο και το οστό που τα στηρίζει διατρέχουν αυξημένο κίνδυνο βίαιης μετακίνησής τους και κατάγματος. Σε όλες τις περιπτώσεις όπου ο κίνδυνος τραυματισμού στον αθλητισμό κριθεί ότι είναι αυξημένος ενδείκνυται η εφαρμογή κατάλληλων μέσων προστασίας μεταξύ των οποίων περιλαμβάνονται και οι ενδοστοματικοί αθλητικοί νάρθηκες. Αυτοί είναι κατασκευασμένοι από ελαστικό και ιδιαίτερα ανθεκτικό στην παραμόρφωση υλικό. Αν και διατίθενται στην αγορά προκατασκευασμένοι νάρθηκες που έχουν τη δυνατότητα προσαρμογής μετά από θέρμανσή τους σε ζεστό νερό καλύτερη συγκράτηση και γενικά λιγότερα προβλήματα στη συστηματική χρήση χαρακτηρίζει τους εξατομικευμένους νάρθηκες που κατασκευάζονται στο εργαστήριο μετά από λήψη αποτυπωμάτων στο οδοντιατρείο. Όσον αφορά στην εκμάθηση κάποιου πνευστού μουσικού οργάνου αν και παρατηρούνται κάποια προβλήματα, αυτά περιορίζονται τις πρώτες ημέρες μετά από την εφαρμογή των ακίνητων ορθοδοντικών μηχανισμών, όπου ο εκπαιδευόμενος μουσικός πρέπει να αφ’ ενός να συνηθίσει τα σιδεράκια στα δόντια του και αφ’ ετέρου να μάθει να προσαρμόζει η θέση του πνευστού οργάνου σε σχέση με αυτά.
|